Hoje, vamos responder a diversas dúvidas que são recorrentes aqui no blog e no dia-a-dia das clínicas.
1- Para que serve os aparelho nos dentes? Quais problemas dos dentes são resolvidos com o aparelho ortodôntico?
- Apinhamento ou dentes encavalados: Quando as arcadas dentárias são pequenas, os dentes acabam se sobrepondo, e o aparelho ortodôntico resolve a maioria dos apinhamentos dentários.
- Diastema: Quando o espaçamento entre os dentes é muito grande, deixando aquela impressão de dente de Bob Esponja, o tratamento ortodôntico consegue resolver a maioria dos problemas de espaços entre os dentes
- Sobremordida ou mordida profunda: a arcada superior (maxila) “recobre” a arcada inferior (mandíbula) em mais de 2,5mm.
- Mordida cruzada: quando a maxila é menor do que a mandíbula, ou seja, quando a panela está menor do que a tampa. Leia o post Cirurgia Ortognática ou cirurgia bucomaxilofacial: Top dúvidas.
- Desvio de linha média: quando o centro das arcadas não coincidem entre si ou com o restante da face. Para resolução destes casos as vezes são necessárias extrações dentárias.
2- Como é colado o aparelho nos dentes?
Assista a esse rápido vídeo no youtube e saiba como é colado o aparelho ortodôntico fixo:
3- Quais são os tipos de aparelhos dentários? Qual é o preço destes aparelhos?
Basicamente existem três tipos de aparelhos ortodônticos:
1- Aparelhos Fixos Metálicos ou Estéticos. Para saber mais leia o post “Aparelho
ortodôntico estético de Safira ou porcelana: Top dúvidas!”
2- Placas Alinhadoras – Leia o post “Invisalign na Ortocia!”
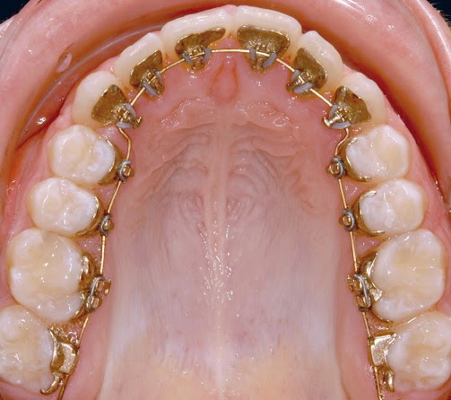
3- Aparelhos Linguais – Leia a entrevista com a Dra Ana Tenguan no post “Aparelho Lingual: Ortodontia Lingual!”
Todos eles foram apresentados na ordem do mais barato para o mais caro, onde o tratamento com aparelho lingual pode chegar ao valor de um carro popular usado. Leia o post Ortodontia lingual com aparelho lingual Harmony: Top dúvidas.
4- Qual é o melhor aparelho ortodôntico?
Fonte:
- Dalessandri D, Lazzaroni E, Migliorati M, Piancino MG, Tonni I, Bonetti S. Self-ligating fully customized lingual appliance and chair-time reduction: a typodont study followed by a randomized clinical trial.Eur J Orthod. 2013 Dec;35(6):758-65.
- Lagravère MO, Flores-Mir C. The treatment effects of Invisalign orthodontic aligners: a systematic review. J Am Dent Assoc. 2005 Dec;136(12):1724-9








